🌺🔬 Grade 12 Biology Practical – DWPS VGI
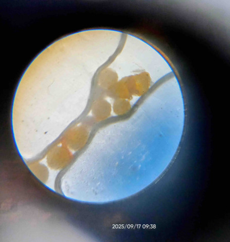
Aim: To prepare a temporary mount and observe pollen germination using Hibiscus flower.
It was amazing to watch tiny pollen grains sprout delicate pollen tubes under the microscope 🌱✨ — a live glimpse into nature’s fertilization process!

